Ad
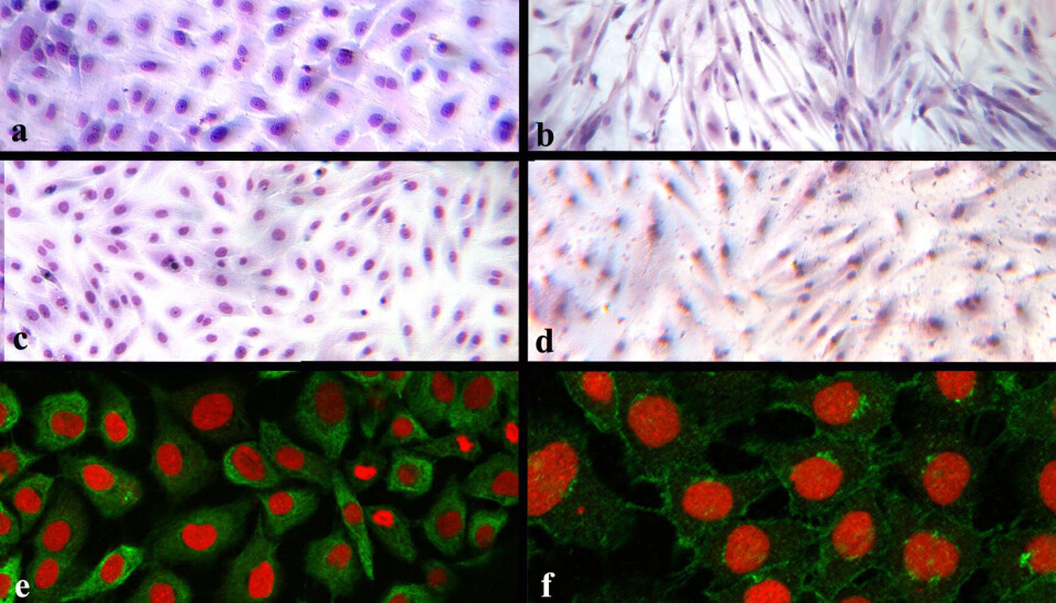
Atlantic salmon gill cell lines: ASG-10 (a, c, e, and f) and ASG-13 (b and d)

New salmon gill cell line as a model for water quality in RAS

Norwegian scientists evaluated an Atlantic salmon gill cell line (ASG-10) as an in vitro model to assess water quality in recirculation systems.

Published Modified

Maintaining adequate levels of various water quality parameters in recirculation systems (RAS) is essential to ensure the health and productivity of fish.

Having a simple and reliable way to assess how levels of ammonia/ammonium, nitrite, nitrate, heavy metals, pH, among other parameters, affect fish, would be of great help to both researchers and producers.

For this reason, a new study conducted by Norwegian scientists from the Norwegian Veterinary Institute and Nord University, proposes a new Atlantic salmon gill cell line (ASG-10) as an in vitro model to address water quality issues in aquaculture.

Through a series of experiments, the researchers evaluated how specific and sensitive the ASG-10 line was in assessing and observing cellular changes when exposed to ammonia and aluminum.

"Ammonia/ammonium (NH3/NH4+), a recognized challenge in water-intensive recirculation systems, induced lysosomal vacuolization, reduced protein degradation, and cellular migration of ASG-10 cells. Aluminum (Al n+), another challenge in freshwater aquaculture facilities, had only minor effects," the authors explained regarding their results.

The researchers highlighted that the ASG-10 line provides an efficient and reproducible platform for assessing the effects of pollutants, temperature changes, and oxygen levels, among other environmental factors. Additionally, it facilitates experimentation without the need to resort to live animals, promoting more ethical practices in research.

Despite some limitations and the existence of another alternative gill cell line from rainbow trout for these types of experiments, the experts concluded that the ASG-10 cell line "is a good basis for further development of a functional model of Atlantic salmon gills."

Review the complete study titled "Gill epithelial cell line ASG-10 from Atlantic salmon as a new research tool for solving water quality challenges in aquaculture", here.